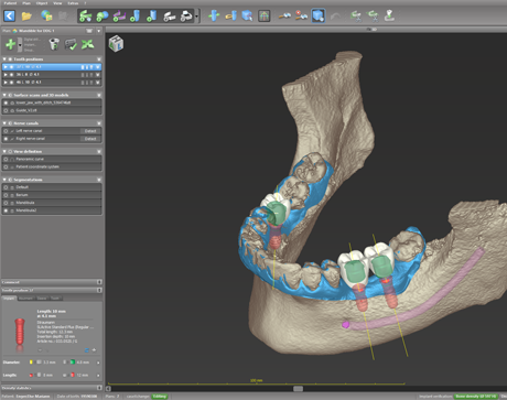
Precise planning

The basis of planning is a detailed analysis of each situation, its digitalization, visualization and demonstration of the expected results.

Precise design

Lean, fast and efficient execution and translation of planning results into real life.

Reliable materials

The use of technologies, processes and specific materials that meet the highest standards and achieve optimal results even under the most demanding conditions.

Phone

+420 602 463 058

Address

Mírové náměstí 3
Košťany, 417 23
Czech Republic